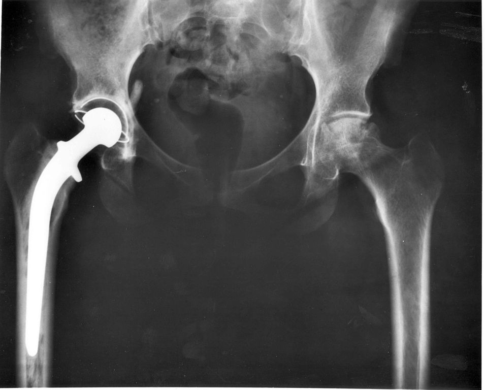
All Posts November 26, 2014 | No Comments Mercy Memorial Hospital System Announces Direct Anterior Approach to Hip Replacement
All Posts September 28, 2014 | No Comments Mercy Memorial Hospital System Signs Definitive Agreement to Join ProMedica
All Posts September 7, 2014 | No Comments Mercy Memorial Hospital System announces DAISY Award recipient
All Posts June 13, 2014 | No Comments Mercy Memorial Family Medicine Residency Program welcomes new class of residents, new faculty
All Posts May 8, 2014 | No Comments Mercy Memorial Hospital System Excels in Patient Safety – Awarded an “A” in Spring 2014 Hospital Safety Score